InSmile Dental
Dr. Behram Shah

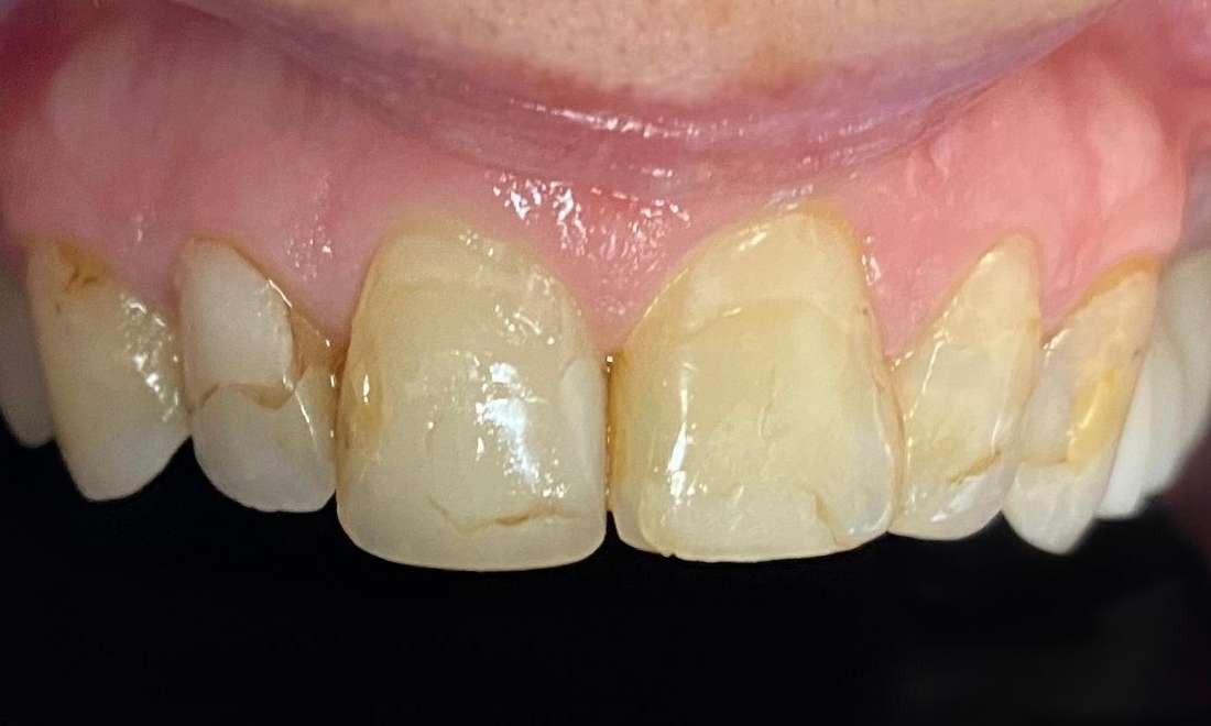
Cosmetic Crowns and Fillings

We wanted to give this patient a beautiful smile to match their fantastic personality.  This case had a combination of big and small cavities on eight different teeth in the front.  We restored this mouth with beautiful lithium disilicate ceramic crowns, along with fillings that mimic the natural translucency of enamel.  We also brightened this patients smile and corrected the slight misalignment in their bite.  This was all completed in just 3 appointments!  

Service Performed By:

Dr. Behram Shah
Getting an appointment is fast and easy!
If you have difficulty using our website, please email us or call us at (972) 908-9830
View the ADA Accessibility Statement