InSmile Dental
Dr. Behram Shah

Smile Makeover

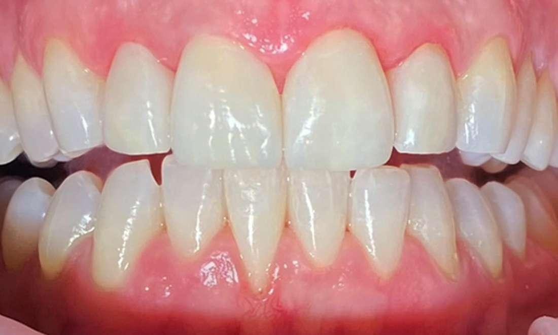
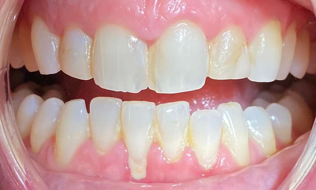
We saw this nervous patient for an emergency due to severe pain in the front teeth. Our patient came to us with multiple failing fillings and crowns in the front. We listened to their desire to get out of pain, but our patient also wanted to show off their smile without feeling embarrassed.

We corrected these issues with root canal treatments to relieve the patient of pain while also placing beautiful porcelain dental crowns and veneers. We finished her treatment with a round of whitening to brighten those healthy teeth. Today, our patient can’t stop smiling.

Related Services:

Cosmetic Dentistry
Getting an appointment is fast and easy!
If you have difficulty using our website, please email us or call us at (972) 908-9830
View the ADA Accessibility Statement